IgG4関連疾患 IgG4-RD(IgG4 related disease)は血清中でIgG4が高値を示し、IgG4陽性形質細胞を主体とする炎症細胞の浸潤により全身の臓器腫大、炎症、線維化を特徴とする原因不明の慢性炎症性疾患です。
小幡博人: IgG4関連眼疾患、臨床眼科 73:162-5.2019
IgG4-RDの中で涙腺、三叉神経、外眼筋など眼球およびその付属器に病変がみられるものをIgG4関連眼疾患 IgG4-ROD(IgG4 related ophthalmic disease)と呼びます。https://meisha.info/archives/2391
IgG4-ROD病変のうち最もポピュラーなのは両側の涙腺腫大です。https://meisha.info/archives/4986
一方、眼窩脂肪ヘルニアは上下眼瞼に挟まれた外側の結膜下に黄色の眼窩脂肪がが顔を出す病態です。https://meisha.info/archives/1303
IgG4-RODの涙腺腫大が眼窩脂肪ヘルニアと誤診されることがあります。
53歳時に近医A眼科にかかり眼窩脂肪ヘルニアと診断されていました。
58歳時、一度結膜縫合にてヘルニア還納術を受け、さらに62歳時に再発したとして、ヘルニアの一部を切除する2回目の手術を受けています。
写真左はA眼科での初回手術前、右は2回目の手術後の写真です。

その後64歳時、人間ドックの頭部MRI検査で両側の涙腺腫大を指摘されて、A眼科からY大学病院眼科を紹介されました。
眼瞼皮膚の触診にて両側の上眼瞼外側で腫大した涙腺を触知しました。
さらに左の上下の瞼裂間には結膜円蓋部にかけて淡黄色の扁平隆起が観察され(図左)、細隙灯で観察するとA眼科での初回手術前の写真に類似する結膜下の充実性の腫瘤(図中央)が観察され、無鈎鑷子での眼窩内への還納はできず(図右)、眼窩脂肪ヘルニアは否定的でした。

血液検査では血清IgG4値が786mg/dl(正常値:11-121)と高値でIgG4-RODの涙腺病変が疑われたため生検を計画しました。
局所麻酔下でまず結膜切開での組織採取をトライしましたが、仰臥位では病変が奥に引っ込んで切除困難のため、眉毛部外側で皮膚切開により眼窩隔膜下の腫瘤を一部切除しました。
病理結果はIgG4関連疾患に矛盾しませんでした。
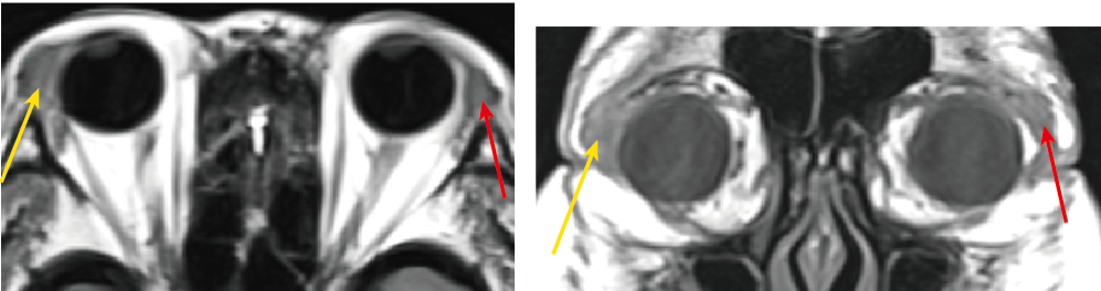
さらに術後に撮像したMRIでは、手術で一部切除した左の涙腺部病変は縮小していましたが(図の赤矢印)、右の涙腺は著明に腫大(図黄矢印)していました。
また図にはありませんが両側の顎下腺腫大も確認されました。

病理所見、IgG4高値、MRIでの顎下腺腫大からIgG4-RDと診断して、以後のステロイド投与中心の加療をリウマチ膠原病内科に依頼しました。
本例のように耳側上方の球結膜下に黄白色で無痛性の腫瘤性病変を見た場合、眼窩脂肪ヘルニアとIgG4-RODの涙腺腫大を鑑別する必要があります。
その鑑別には以下の点が重要です。
1. 硝子棒や無鈎鑷子での腫瘤の眼窩内への還納の可否
2. CT撮影(眼窩脂肪ヘルニアでは腫瘤の低吸収像が眼窩脂肪に連続する)https://meisha.info/archives/1303
3. 血液検査でのIgG4値