種々の視野異常が特徴のAZOOR 急性帯状潜在性網膜外層症https://meisha.info/archives/3548は網膜外層の視細胞の病気ですが、眼底変化に乏しいので球後視神経炎https://meisha.info/archives/2924との鑑別が必要です。
近藤峰生 他: 急性帯状潜在性網膜外層症(AZOOR)の診断ガイドライン. 日本眼科学会雑誌 123:443-9.2019
AZOORと同様、視細胞の異常で視野欠損を示すMEWDS 多発消失性白点症候群 https://meisha.info/archives/3575 は、眼底全体に散在する特徴的な白点(境界不鮮明なので白斑と呼ぶほうがふさわしい)が特徴ですが、これが目立たない場合にはやはり球後視神経炎と誤診されることがあります。
左眼の暗点を自覚してB病院眼科を受診した初診時には、視力は正常で眼底には異常がないとして、後日の視野検査予約となりました。
4日後、矯正視力は0.4に低下、視野検査で中心暗点がみられ、RAPD陽性で、左の球後視神経炎として大学病院を紹介されました。
0.8と視力は少し改善していましたが、視野は盲点中心暗点で、RAPDは左で陽性でした。
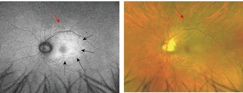
眼底自発蛍光 FAFでは乳頭から黄斑部にかけて過蛍光病変(図左、黒矢印)がみられ、またその周囲に散在する斑状過蛍光(図左、赤矢印)に一致して眼底写真でも淡い白斑(図右、赤矢印)が確認されました。

さらにOCTにてEZの不整(図上段、左)がみられたため、球後視神経炎ではなくMEWDSと診断され、https://meisha.info/archives/3907無治療経過観察となりました。
2カ月後OCTではEZが回復し(図上段、右)、視野も改善(図下段)しました。

RAPD: Relative afferent pupillary defectは未散瞳の瞳孔に入射させる光を、左眼→右眼→左眼と交互にすばやく移動した際の瞳孔径の変化を観察する検査です。
例えば左眼に入射させた光を右眼に移すと両眼で縮瞳し左眼に戻すと両眼で散瞳する場合、[RAPDは左眼で陽性]と判定します。
RAPDは対光反応の入力系(網膜→視神経→中枢)の障害を示すとして視神経炎の診断に利用されますが、視神経疾患に特異的ということはなく、中心窩を含む広範囲の網膜障害でも陽性になるこことが、上記AZOORの診断ガイドラインにも記載されています。