遺伝性疾患の診療では家系図を描くことが大切です。https://meisha.info/archives/4482
特に家系内に複数の罹患者がみられる常染色体顕性(優性)遺伝の網膜ジストロフィでは、年齢、視力とともにオプトスなどによる超広角の眼底自発蛍光(FAF: fundus autofluorescence)画像https://meisha.info/archives/3243を家系図に書き入れると病気の進行具合がよく把握できます。

上図は以前に紹介した錐体ジストロフィ(錐体-杆体ジストロフィ)の症例(症例3)https://meisha.info/archives/4772の家系図です。
今回症例3の姉にあたる症例2が受診されました。(症例1は以前から受診されていて、最近の視力は図に示すごとくです。)
まぶしさ(羞明)と視力低下を主訴に近医眼科を受診した際、母親(症例1)が大学にかかっていることがわかったため大学を紹介されました。
RV = 0.3 (0.5 X cyl -1.5D Ax 130)
LV = 0.2 (0.4 X -0.75D cyl -1.5D Ax 50)
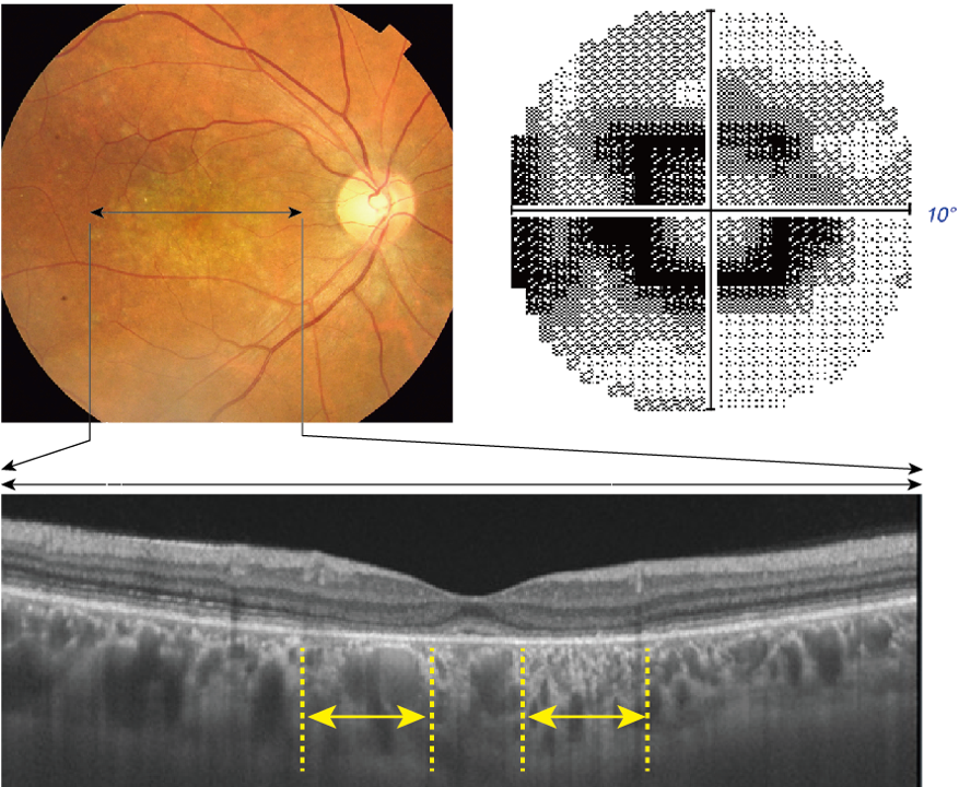
両眼とも黄斑部は軽度粗造(図上段左)で、中心窩周囲の輪状部ではEZの消失と菲薄化したRPE(図下段の両矢印の範囲)がOCTで確認されます。
両眼エスターマン視野は視認点数が117/120とほぼ正常ですが、中心10度視野(図上段右)では輪状暗点になっています。

ひとり息子(症例4)は無症状でしたが、常染色体顕性(優性)遺伝であれば罹患確率は1/2のためFAFを撮影したところ、中心窩での異常な過蛍光が両眼対称性にみられました。
初期の変化と考え、次回以後定期的に精査する予定です。
FAFを年齢順に並べてみると正常では軽度低蛍光の中心窩(図左端)が、若年の息子では過蛍光(図左から2番目)、中年の症例2,3では砂粒状のまだらな低蛍光(図左から3番目)、高齢の母親では真っ黒な無蛍光(図右端)となっています。
視細胞が徐々に死滅していく過程https://meisha.info/archives/735で、崩壊する外節内レチナール由来のリポフスチンの過剰蓄積https://meisha.info/archives/744と引き続くRPEの死滅脱落https://meisha.info/archives/750という病態を反映した結果と考えられます。
